膝 関節 骨 壊死 症 症状 239878
脛骨顆部骨壊死様病変は大腿骨顆部骨壊死に比べて 稀な疾患であり,突然の膝関節痛,水 症,脛 骨顆部の 圧痛を主症状とする今 回我々は当院にて膝の観血的 治療を行った症例についてretrospectiveに 検討を行 い,19例19膝 の脛骨顆部骨壊死様病変の症例を得た膝の特発性骨壊死ついて 膝関節に接している大腿骨と脛骨の顆部(かぶ:先端部)の組織が壊死する病気です。 変形性膝関節症とともに、膝の痛みを訴える患者様に多い病気です。 とくに、60代以上の高齢女性に多く見られます。今日も柔道整復師、理学療法士、整体師の方、新人の方に向けて、僕の実際行っていることについて書いていきます 今日は高齢者の膝関節鑑別について書いていきます 様々な整形外科疾患があると思いますが、僕が臨床的に多いと感じたものを書いていきます 臨床の中で急性症状のある高齢者
膝関節 人工関節と脊椎手術なら横浜町田関節脊椎病院
膝 関節 骨 壊死 症 症状
膝 関節 骨 壊死 症 症状-膝の特発性骨壊死ついて 膝関節に接している大腿骨と脛骨の顆部(かぶ:先端部)の組織が壊死する病気です。 変形性膝関節症とともに、膝の痛みを訴える患者様に多い病気です。 とくに、60代以上の高齢女性に多く見られます。膝の特発性骨壊死ついて 膝関節に接している大腿骨と脛骨の顆部(かぶ:先端部)の組織が壊死する病気です。 変形性膝関節症とともに、膝の痛みを訴える患者様に多い病気です。 とくに、60代以上の高齢女性に多く見られます。


主な疾患 関節 米盛病院 社会医療法人緑泉会 鹿児島
だいたい、変形性膝関節症なんですけど 今回は 、その中で "膝関節特発性骨壊死" をみかけました。 これはどういったものなのか、まとめていきます。 どんな病気? 膝関節に激痛・水症・可動域制限をきたす高齢者の退行性膝関節疾患である。だいたい、変形性膝関節症なんですけど 今回は 、その中で "膝関節特発性骨壊死" をみかけました。 これはどういったものなのか、まとめていきます。 どんな病気? 膝関節に激痛・水症・可動域制限をきたす高齢者の退行性膝関節疾患である。Vol3 特発性膝関節骨壊死症 膝関節に発生する局所的な軟骨下骨の骨壊死です。原因が特定できない特発性とステロイド性による二次性に分けられます。 病態・症状 中年から高年の女性で大腿骨内側顆部の荷重部に発生することが多いです。 突然の膝関節痛
症状 痛みとともに膝の曲げ伸ばしの時にキャッチング(引っかかり感)が出現し、ひどい場合には急に膝が曲げも伸ばしもできなくなるロッキングという状態になり歩けなくなる程痛くなることがあります。 変形性股関節症;骨壊死の症状 骨壊死の主な症状は関節の痛みです。 脚や膝、股関節で起こった場合は、はじめ痛みは出ても、運動や動きをやめて安静にすれば落ち着くことが多いのですが、次第に悪化していくと、足を引きずって歩くようになり、最終的には歩行困難膝の特発性骨壊死ついて 膝関節に接している大腿骨と脛骨の顆部(かぶ:先端部)の組織が壊死する病気です。 変形性膝関節症とともに、膝の痛みを訴える患者様に多い病気です。 とくに、60代以上の高齢女性に多く見られます。


膝関節 人工関節と脊椎手術なら横浜町田関節脊椎病院


人工膝関節置換術とは 整形外科 受診案内 聖路加国際病院


特発性膝骨壊死 電子コンテンツ 日本医事新報社


変形性膝関節症 大腿骨内顆骨壊死の治療 東京高輪病院 地域医療機能推進機構


当センター対象の手術 人工関節センター 神奈川県相模原市 黒河内病院


変形性膝関節症について 大宮ひざ関節症クリニック


進行すると変形性膝関節症になる 特発性膝関節骨壊死症について メディカルノート


大腿骨内顆骨壊死 最新治療 横浜整形外科 三愛膝専門外来 名医 手術 治療 名医 変形性膝関節症 変形性膝関節症 膝関節 外科 東京 横浜 埼玉 神奈川 横浜市 東京都 膝専門 人工膝関節 膝蓋骨脱臼 半月板 骨壊死 変形性膝関節症 前十字靭帯


膝関節骨壊死と言われた方へ 武蔵小杉整形外科 川崎市中原区


変形性膝関節症による痛み 痛みの疾患ナビ さまざまな痛みの情報サイト 疼痛 Jp


膝関節外来 専門外来


突然 骨が死んでしまう 大腿骨頭壊死 だいたいこっとうえし 症とは Nhk健康チャンネル


変形性膝関節症の痛みと間違う 特発性膝骨壊死 症状 原因 治療まとめ 大阪市都島区の鍼灸院 杏総合治療所


大腿骨頭壊死症 慶應義塾大学病院 Kompas


高齢化に伴う増加する 変形性膝関節症 その原因 症状とは メディカルノート


ひざの病気と治療方法 ひざの痛みと治療方法 オリンパス テルモ バイオマテリアル株式会社


膝関節疾患センター 横浜市


主な疾患 関節 米盛病院 社会医療法人緑泉会 鹿児島


骨頭壊死 こっとうえし 原因となる病気 股関節の痛み 人工関節ドットコム


主な疾患 関節 米盛病院 社会医療法人緑泉会 鹿児島


整形外科 江南厚生病院


大腿骨頭壊死症の症状 診断 治療 骨 筋肉 関節の病気 All About


骨が壊死する難病 特発性大腿骨頭壊死症 とは 突然の股関節の痛みに注意 メディカルノート


変形性膝関節症 Sports Medicine Library ザムスト Zamst


特発性大腿骨頭壊死症 ステロイド薬やお酒の飲み過ぎで股関節が痛い 古東整形外科 リウマチ科


突然 骨が死んでしまう 大腿骨頭壊死 だいたいこっとうえし 症とは Nhk健康チャンネル


診療案内 香川大学医学部附属病院 整形外科 香川大学医学部 整形外科学講座


人工膝関節置換術後に激しいスポーツができない理由 ひざ 関節治療オンライン


大腿骨頭壊死症 慶應義塾大学病院 Kompas


変形性膝関節症について 社会医療法人恵仁会 くろさわ病院 長野県佐久市中込


Q Tbn And9gcre2ycql1cb Sukibzuj3yzr2zsba7kwhz78vdli6aoblwhl8 Usqp Cau


股関節疾患 吉田整形外科 公式 港区 南麻布 白金高輪 リハビリテーション スポーツ障害


大腿骨内顆骨壊死 整形外科 スポーツ診療科 順天堂医院


日向野 雅典 先生 膝の痛みの原因と改善 第131回 整形外科医とリハビリの専門家が連携協力一人の患者さんを見守っていく 人工関節ドットコム


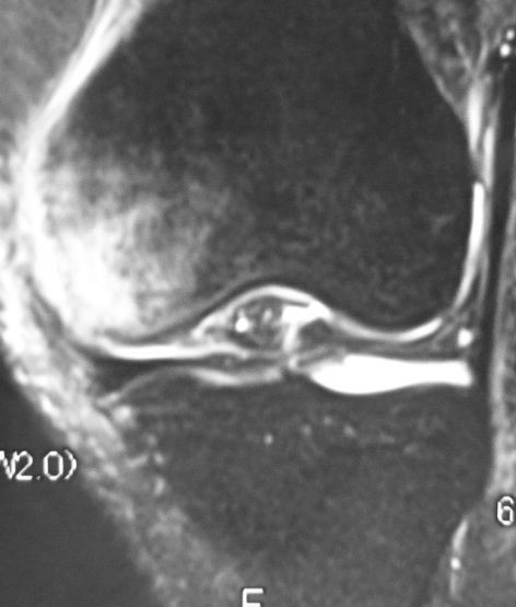
Mriによる膝関節部骨壊死症の検討 臨床整形外科 25巻10号 医書 Jp


膝の腫れ 水がたまる原因とリウマチ 東京リウマチクリニック


膝が痛くなる病気とは よくわかるほねとひざ Com


明石大久保人工関節センター 人工膝関節置換術 特定医療法人 誠仁会 大久保病院


膝関節の病気と治療 整形外科 診療科 診療部門をみる 大阪府済生会中津病院


変形性膝関節症 大腿骨内顆骨壊死の治療 東京高輪病院 地域医療機能推進機構


膝関節 人工関節と脊椎手術なら横浜町田関節脊椎病院


変形性膝関節症 整形外科 スポーツ診療科 順天堂医院


膝 ひざ の痛みの施術 どこに行っても良くならない方が来られる二條整体院 泉岳寺駅より徒歩3分 白金高輪駅から徒歩9分


大腿骨内顆骨壊死 整形外科 スポーツ診療科 順天堂医院


膝関節の疾患と手術 船橋整形外科病院 Funabashi Orthopedic Hospital


2


膝骨壊死でも 発生 と 発症 は違う 整形外科医のブログ


変形性膝関節症とは 整形外科 再生医療 札幌ひざ関節症クリニック


膝の痛み 髙橋 直樹 必ずしも 関節変形がひどいイコール手術という訳ではありません 治療法はそれぞれの患者さんの症状 や生活背景などを考慮して決めることが大事です


ステロイド性大腿骨頭壊死症の予防に 抗凝固剤 ビタミンk 抗酸化物質は有効となるのか 主に神経 免疫系疾患に関する文献的考察を行うblog


進行すると変形性膝関節症になる 特発性膝関節骨壊死症について メディカルノート


もう一つの手術 骨切り術 北水会記念病院 膝関節専門外来


変形性膝関節症とはどんな病気 原因と症状について メディカルノート


人工関節置換術 府中恵仁会病院ウェブサイト


膝関節の疾患と治療法 その2


変形性膝関節症 Kompas


黒河内 和俊 先生 膝の痛みについて教えてください 第191回 膝の痛み は奥が深い 治療やリハビリしっかり膝専門医と相談を 人工関節ドットコム


山本 晋士 先生 膝の痛みと軟骨の変性 第8回 つらい膝の痛み 部分的な人工膝関節という治療法もあります 人工関節ドットコム


変形性肩関節症 慶應義塾大学病院 Kompas


変形性膝関節症 大腿骨内顆骨壊死の治療 東京高輪病院 地域医療機能推進機構


変形性膝関節症による痛み 痛みの疾患ナビ さまざまな痛みの情報サイト 疼痛 Jp


Uka 人工膝関節単顆置換術 スポーツ整形 山形徳洲会病院 整形外科


当センター対象の手術 人工関節センター 神奈川県相模原市 黒河内病院


変形性膝関節症について 社会医療法人恵仁会 くろさわ病院 長野県佐久市中込


膝の痛み 間庭整形外科 公式


特発性骨壊死 とくはつせいこつえし 家庭の医学 時事メディカル 時事通信の医療ニュースサイト


Q Tbn And9gcsgmt2hbo 52kqxsuvfbjyaqtmj7hvzsdrj29evf3zs7walsp Usqp Cau


ひざの病気と治療方法 ひざの痛みと治療方法 オリンパス テルモ バイオマテリアル株式会社


New 膝関節外科 日本医科大学付属病院


大腿骨頭壊死症の症状 診断 治療 骨 筋肉 関節の病気 All About


股関節の病気と治療 人工股関節手術 人工関節センター 大阪急性期 総合医療センター


変形性膝関節症 年の膝 三島市医師会


膝関節痛の症状と治療 伊勢崎スポーツ整形外科医院


Vol 3 特発性膝関節骨壊死症 Dr 久保田の診察室だより 医療法人社団 久保田整形外科医院


変形性膝関節症とは 整形外科 再生医療 札幌ひざ関節症クリニック


特発性膝骨壊死 高位脛骨骨切り術 膝周囲骨切り術 膝骨壊死 ふれあい横浜


Q Tbn And9gctjyhachg Ifkxdq1atlbqy Tuh 2kebucmbjnl6 Avg2qayqvt Usqp Cau


Www Nanbyou Or Jp Wp Content Uploads Kenkyuhan Pdf13 S Kansetu2 Pdf


大腿骨頭壊死症とは 原因 症状 治療法を整形外科医が解説 1 1 介護ポストセブン


変形性膝関節症 Kompas


人工膝関節手術 東京女子医科大学整形外科


ヒザ の痛み診療室 医療で培った技術で支え 助ける 各種サポーターを扱うmediaid公式オンラインショップ メディエイドオンライン


高齢期に多い運動器疾患 健康長寿ネット


Q Tbn And9gcqnn9hytxi4qwqakfhdkeev54nmhnl Xuzb X44xcbx Pvxy95x Usqp Cau


膝関節骨壊死症 医療法人 龍神堂会 龍神堂医院


当院での膝痛に対する治療 膝関節外科 牧整形外科病院 大阪市城東区 脊椎 人工関節 スポーツ整形 ペインクリニック 牧ヘルスケアグループ 医療法人 清翠会


膝の特発性骨壊死ついて


特発性大腿骨頭壊死症


人工膝 ひざ 関節手術とは 北水会記念病院 膝関節専門外来


Http Www Jcoa Gr Jp Health Clinic Knee Koa Pdf


特発性膝骨壊死 電子コンテンツ 日本医事新報社


膝の特発性骨壊死ついて


特発性大腿骨頭壊死症 日本整形外科学会 症状 病気をしらべる


大腿骨頭壊死症 関節とは 人工関節と関節痛の情報サイト 関節が痛い Com


膝の痛み 間庭整形外科 公式


進行すると変形性膝関節症になる 特発性膝関節骨壊死症について メディカルノート


下肢のアライメントを整える 社会医療法人恵仁会 くろさわ病院 長野県佐久市中込


外科的治療 ひざの病気と治療方法 ひざの痛みと治療方法 オリンパス テルモ バイオマテリアル株式会社


変形性膝関節症について 社会医療法人恵仁会 くろさわ病院 長野県佐久市中込


特発性膝骨壊死 高位脛骨骨切り術 膝周囲骨切り術 膝骨壊死 ふれあい横浜


立ち上がるときに膝が痛む変形性膝関節症の症状と原因 O脚との関連も メディカルノート


レントゲンだけじゃダメ 変形性膝関節症でmri検査する理由 富裕層向け資産防衛メディア 幻冬舎ゴールドオンライン


人工膝関節置換術とは 整形外科 受診案内 聖路加国際病院


ひざの病気と治療方法 ひざの痛みと治療方法 オリンパス テルモ バイオマテリアル株式会社

コメント
コメントを投稿